ٷ
α
Ϲ α
αϿ ġ Ȯ .
α
̵
йȣ ã
ȸ
ȸ
LANGUAGE
þƾ
Ϻ
ƶ
Ʈ
߱
ڻǷ
ǥ
뱸
λ
õ
д
Ȼ
õ
ϻ
â
õ
û
ؿ
ڻġ
ڻô߰ġ
ġ
ڻġ
ġⰣ
ġ 10
㸮ġ
߳
Űȸ
ħ
ŹٷѾ
Źٷξħ·ħ
ο
ġ
߳
ħ
ŹٷѾ
Źٷξħ·ħ
ο
ΰġ
ŹٷѾ
ħ
߳
ο
ġ
ŹٷѾ
Źٷξħ·ħ
ħ
߳
ο
Կġ
ǻ·ǻ
ǻ·ǻ ڸ
ġ
ѹ湰
ġȿ
㸮ũ
ũ
ô߰
ũ
ô ı
ŹٷѾ
ħ
Źٷξħ·ħ
ġ
ı ͺ
MRI ġ
ȯڰ ġı
ȸŰ渶 ġ
ڻ ġ
ø ǰ
㸮ũ
ô߰
༺ ũ
ũ
ȯ
ôȯ
ڻġ Ư¡
㸮ȯ
㸮ũ
༺ũ
ô߰
ô
ô
ô
ôĸ
ȯ
ũ
ڸı
VDTı
༺ũ
ڻ ġ
ø ǰ
㸮ũ
ô߰
༺ ũ
ũ
ȯ
·ȯ
ڻġ Ư¡
༺
ݿջ
ȭ
δջ
׳
ȯ
ʰ
ȸȭǿ
ȸٰĿ
浹ı
׳
Ÿȯ
ոͳı
ٸ
ܹ
ȯ
·ո·߸
״Ͻ·
ջ
Ƽ
dz
ȯ
ΰ
ڻ ġ
ø ǰ
㸮ũ
ô߰
༺ ũ
ũ
ȯ
Ŭ
ȸŰ渶Ŭ
ǷıŬ
ûҳô
ı
ô߰Ȱ
ô߾йڰŬ
ô߰
ڻ Ŭ
Ŭ
Ŭ
Ŭ
Ŭ
ڷγ ȸ Ŭ
ڻ ġ
ø ǰ
㸮ũ
ô߰
༺ ũ
ũ
ȯ
ڻѾ
ŹٷѾ
ŹٷѾ Ұ
ŹٷѾ ġ ȿ
ڻ
ڻѾ ǰ
ڻ̿ Ұ
ڻ ġ
ø ǰ
㸮ũ
ô߰
༺ ũ
ũ
ȯ
·
ȳ
ð ȳ
ȭ㿹
Կ
Կȳ
ǷҰ
ǥ
ȳ
߱
ֹ
Ѿȸ
Ҹ
Īմϴ
մϴ
ڻ ġ
ø ǰ
㸮ũ
ô߰
༺ ũ
ũ
ȯ
Ұ
Ұ
ڻҰ
ڻ
λ縻
ڻCI
ڻ ij
ѹô
Ƿ
Ἶ
ڻ
ȣμҰ
ѷ
ãƿô
ҽ
ڻҽ
к
ǰ
̺Ʈ
ô߰
ڻô߰
м
þī
ڻþī
¶
ȸ
ڻ ȸ
ڻ ҽ
ڿû
ڻ ġ
ø ǰ
㸮ũ
ô߰
༺ ũ
ũ
ȯ
˻
ü
ٷ
Ȩ
·
ȳ
Ƿ Ұ
Ƿ
ٷ
Īϱ
ٷ
߰/
κ
04/05 ~ 04/11
ȭ
04/12 ~ 04/18
ȭ
&
ħа
ڻѹ溴() Ϲ/
õб ǰ
ڻѹ溴() ú
ڻѹ溴()
ô߽Ű߳ȸ ȸ
ħȸ ȸ
ѽȸ ȹ
㸮ũ
ũ
ô߰
༺ũ
ô
ôĸ
ջ
ȯ
ȯ
ڷ
ũ ȯ 㸮 ?
ô߰ǰ Ǵ 㸮 ڼ ٷξ˱
MRI
㸮ũ
㸮ũ
ġ ȸ Դϴ
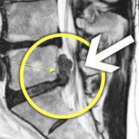
αϿ ġ Ȯ
α
ȸ
ܻ й ħġ ȿ: 2
ġḦ ̿ϴ ȯ Ư Ƿ̿ Ȳ
ȯڰ ġı(58)
ı
ó
1
ġı ۼϱ
̸
ȯ
ϼ
㸮ũ
ũ
༺ũ
ô߰
и
ΰ
ȯ
ȸŰ渶
Ÿȯ
ǿ
Ƿ
* Խ ݿ Ƿ ,
Ἥ ο ۼ Ҹ(մϴ) ̵ǿ عٶϴ.
óħ ϱ
(뺸)
Ȯ
ȯġ Խñ ϵǾϴ.
Īմϴ(34)
Īϱ
ó
1
, Īմϴ!
'Īմϴ' ԽԴϴ.
̸̳ Ż شϴ Ե ʵ
Ͽ ֽñ ٶϴ.
* Īϱ Ͻ
ҰϿ ȮϽ
Ȯιư ֽʽÿ.
*
ԷϽ (ָ ) ֽϴ.
* Խ ݿ Ƿ عٶϴ.
Ȯ
ٸ Ī
ĪԽñ ϵǾϴ.
ü
ü
ڻġ
ڻô߰ġ
ġ
ڻġ
ġⰣ
ġ 10
㸮ġ
߳
Űȸ
ħ
ŹٷѾ
Źٷξħ·ħ
ο
ġ
߳
ħ
ŹٷѾ
Źٷξħ·ħ
ο
ΰġ
ŹٷѾ
ħ
߳
ο
ġȿ
㸮ũ
ũ
ô߰
ũ
ô ı
ŹٷѾ
ħ
Źٷξħ·ħ
ġ
ŹٷѾ
Źٷξħ·ħ
ħ
߳
ο
Կġ
ǻ·ǻ
ǻ·ǻ ڸ
ġ
ѹ湰
ġ
ı ͺ
MRI ġ
ȯڰ ġı
ȸŰ渶 ġ
ôȯ
ڻġ Ư¡
㸮ȯ
㸮ũ
༺ũ
ô߰
ô
ô
ô
ôĸ
ȯ
ũ
ڸı
VDTı
༺ũ
ΰȯ
ڻġ Ư¡
ȯ
ΰ
ȯ
༺
ݿջ
ȭ
δջ
׳
ȯ
ʰ
ȸȭǿ
ȸٰĿ
浹ı
׳
Ÿȯ
ոͳı
ٸ
ܹ
ȯ
·ո·߸
״Ͻ·
ջ
Ƽ
dz
Ŭ
ȸŰ渶Ŭ
ǷıŬ
ûҳô
ı
ô߰Ȱ
ô߾йڰŬ
ô߰
ڻ Ŭ
Ŭ
Ŭ
Ŭ
Ŭ
ڷγ ȸ Ŭ
ڻѾ
ŹٷѾ
ŹٷѾ Ұ
ŹٷѾ ġ ȿ
ڻ
ڻѾ ǰ
ڻ̿ Ұ
ȳ
ð ȳ
ȭ㿹
Կ
Կȳ
ǷҰ
ǥ
ȳ
߱
ֹ
Ѿȸ
ǼҸ
Īմϴ
մϴ
Ұ
Ұ
ڻҰ
ڻ
λ縻
ڻCI
ڻ ij
ѹô
Ƿ
Ἶ
ڻ
ȣμҰ
ѷ
ãƿô
ҽ
ڻҽ
к
ǰ
̺Ʈ
ô߰
ڻô߰
м
þī
ڻþī
¶
ȸ
ڻ ȸ
ڻ ҽ
ڿû
ȸ
ȸ
йȣã
ڻTV
ڻ ġ
ø ǰ
㸮ũ
ô߰
༺ ũ
ũ
ȯ
ȯ
ȯ
ȸŰ渶
ɼ ȭҷ
˷
ȯ
߳
ڰƮ
㸮ũ
ũ
ΰ
λ
ôü
Ʈ å
̿
ȯڱǸ
óħ
̸ ź
ı
ö ôȯ
ä
äȳ
ٷ
Top